8 Potret Orang Yang Mengalami Hyperdontia, Giginya Ada Banyak!
Diterbitkan
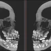
Beberapa orang ada yang mengalami hyperdontia, yaitu tumbuhnya gigi dengan jumlah atau tempat yang tidak wajar. Hingga kini masih belum ditemukan apa penyebab utama hyperdontia.
Kalau kamu ingin tahu seperti apa hyperdontia itu, simak deh foto-fotonya, ada yang sampai puluhan gigi loh! Cek deh.
Hingga saat ini, masih belum diketahui penyebab pasti dari hyperdontia. Namun ada beberapa pendapat yang mengatakan jika hyperdontia terjadi karena genetik.
Hak Cipta: Pinterest
Oleh
Berita Terkait
Editor's Pick
Advertisement
Advertisement
